どんな歯も眠っている間に治療ができる|OBPデンタルクリニックホワイト審美歯科
「無料カウンセリング」はこちらから
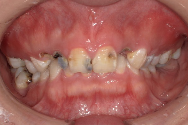
ボロボロの虫歯、
これで最後の治療に
しませんか?
大阪でインプラントなら、
OBPデンタルクリニックホワイト
- 40年以上の実績/
インプラント累計3万本 - スペシャリストによる
無料カウンセリング - アフターフォローと
保証制度
今だけのモニターキャンペーン実施中!
対象メニュー:セラミック・インプラント
20%OFFで受けられる!
なかなか歯医者に行けず、
気づいたら歯が「ボロボロ」に・・・。
いたい・こわい・つらいを
我慢しない
どんな歯の治療も
寝ている間に終わります
※オプションプランとなります
Tooth Trouble
こういった事で
お困りではありませんか?
- 歯の治療はすごく怖い(痛い)
- 虫歯や歯周病で歯がボロボロに
- 仕事をしながら何度も⻭医者に通えない
- 銀⻭が気になって恥ずかしい
- デンタルローンが通るか不安
- ⼊れ⻭で、柔らかいものしか食べられない
- ⻭の治療でオエッとなってしまう。

- 40年以上の
実績 - 寝ている間に
終わる - 親身に
対応
専門家による徹底ケアで安心
OBPデンタルクリニックホワイトに
お任せください

- 痛みの
少ない治療 - 短期間
少回数治療 - 個室での
相談・治療
「歯科治療は痛くて怖い」
「時間がとりにくいので、一気に直してほしい」
「しっかり噛めるようにしてほしい」
「支払い方法を相談したい」
まずは無料カウンセリングにお越しください!
起きたら治療が終わっています
熟睡中⻭科治療法
※オプション
(静脈内鎮静法)

催眠鎮静剤を点滴して、熟睡状態になってから治療を行なっていく⽅法です。眠っているので治療中に痛みなどを感じることはありません。当院では⻭科医ではなく、専属の⿇酔医が治療が終わるまで、徹底してバイタル管理を⾏いますので、ご安⼼ください。
歯科治療が怖い方や嘔吐反射がある方にも適しています。
※治療1回につき55,000円(税込)
CASE症例
CASE1
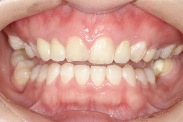
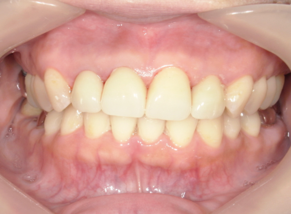
セラミックを用いた虫歯治療
| 主訴 | 虫歯の治療と全体的な見た目の改善 |
|---|---|
| 治療期間 | 2ヶ月 |
| 治療費 | セラミック1本 88,000円〜165,000円(税込) デンタルローンで月3,000円から始められます |
| 治療の リスク | 治療には神経の治療や抜歯が必要な場合があります。 虫歯や歯周病を防ぐ為に、定期検診にご来院いただきます。 |
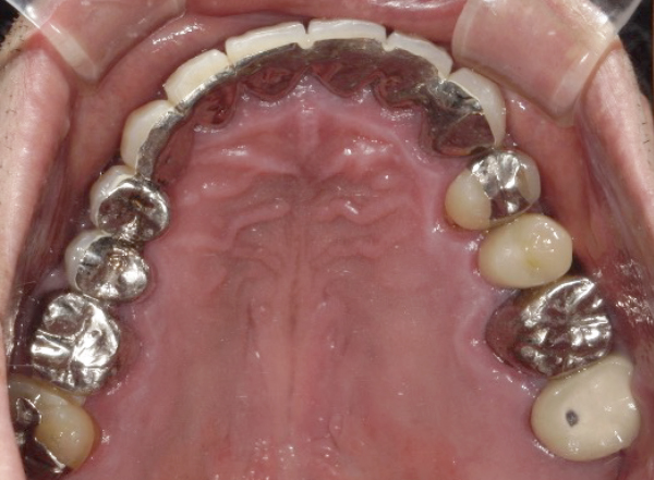
CASE2
インプラントを用いた虫歯治療
| 主訴 | 欠損部分のインプラント埋入 |
|---|---|
| 治療期間 | 3ヶ月(治療回数3回) |
| 治療費 | インプラント1本 330,000円〜385,000円(税込) デンタルローンで月3,000円から始められます |
| 治療の リスク | 治療には神経の治療や抜歯が必要な場合があります。 虫歯や歯周病を防ぐ為に、定期検診にご来院いただきます。 |
POINTOBPデンタルクリニックホワイト
4つの特徴
POINT
1痛みの少ない治療
当院は患者さまに合わせた痛みの少ない治療なのでご安心ください。眠っている間に治療が終わっている『熟睡中歯科治療法』もございます。

痛みの少ない治療
二段階麻酔法
-

⿇酔ジェル
局所⿇酔をする部分に⿇酔の針が触れたときの痛みを和らげる「⿇酔ジェル」を10分ほど貼って⻭⾁の感覚を鈍らせます。
-

痛みの少ない伝導⿇酔完備
チクッとした刺激や⿇酔液の注⼊時の痛みを和らげることができる⿇酔で、怖がるお⼦様に対しても、ストレスの緩和に努めております。
起きたら治療が終わっています
熟睡中⻭科治療法
※オプション
(静脈内鎮静法)

催眠鎮静剤を点滴して、熟睡状態になってから治療を行なっていく⽅法です。眠っているので治療中に痛みなどを感じることはありません。当院では⻭科医ではなく、専属の⿇酔医が治療が終わるまで、徹底してバイタル管理を⾏いますので、ご安⼼ください。
歯科治療が怖い方や嘔吐反射がある方にも適しています。
※治療1回につき55,000円(税込)
POINT
2短期間・最少回数治療
OBPデンタルクリニックホワイトは”働く⽅が通院しやすい”を最優先に考え、治療⽅針は「短期間・最少回数治療」です。
仕事が忙しくて⻭医者に⾏けない⼈や、早く治療を終わらせたい⽅もご安⼼ください。
-
複数の虫歯を一日で治療
-
土曜日も通院可能(完全予約制)
POINT
3個室相談&治療
OBPデンタルクリニックホワイトはカウンセリングから治療まで個室で行うことが可能です。
-
-
カウンセリングルーム
-
オペ室
-
スリープルーム
-
待合室
当院ならではの強みです!
POINT
4⾼精度の⻭科技⼯物を作製できる
歯科技工所を所有し、ドクターと歯科技工士が直接、
密にコミュニケーションを取りながら被せ物やインプラントなどを制作できるため、
患者様の口腔内にフィットする高精度の歯科技工物が作れます。
PRICE治療費について
※治療は公的医療保険適用外です。
モニターキャンペーン実施中!
対象メニュー:セラミック・インプラント
20%OFFで受けられる!
自費と保険の違い
当院は公的保険適応外で、全て
自由診療(自費)で治療を行なっています。
保険診療![]() | 自費診療![]() | |
|---|---|---|
| 治療回数 | 1本ずつ治療をしていくため、 通院回数が多くなり期間が長くなる。 | 1回で複数の虫歯を治療できる為、 少回数、短期間で治療が終わる。 |
| 見た目の 審美性 | 見た目の良くない銀歯や、時間が経つと変色するプラスチックを使用。 | 色や形を決めることができる。 天然の歯に近く、変色しにくい。 |
| 強度、耐久性 | 強度が低く、やり替えのリスクが高い。 | 強度が高いため、長期間使用できる。 |
| 料金 | 健康保険内での医療費を負担。 | 保険適応外。自費での治療。 |
デンタルローンで
月3,000円から
始められます
※審査あり
お支払い方法
現金・各種クレジットカード・銀行振り込み・
デンタルローン アプラス

優秀なドクター陣
施術経験が豊富な優秀なドクターはもちろん、専属の麻酔医やりんごを丸かじり出来ると言われる総義⻭治療法「ドクター・カワラダ・デンチャー・システム」の特別外来もやっております!
-
⼩林 雅佳
「ずっと歯医者に通えていなかった方もご安心ください」 当院は歯科治療が怖くて、歯医者に通えていなかった方が多くご来院されます。 長年放置してきた虫歯の治療でも患者様に寄り添い、痛みはもちろん、不快感の無い歯科治療をご提供いたします。 ”自分の歯のようにしっかり噛める歯科治療”をモットーに、患者さんの全顎的機能回復を目的とした、安全で質の高い歯科治療をご提供いたします。
-
平⽥ 雅丈
「マスクを外して笑える、白くて綺麗なお口元に」 長年放置してしまった重度の虫歯もお任せください。歯がボロボロでマスクが手放せなかった方も、口を開けて笑顔になれる綺麗なお口元に施術いたします。 ワイヤーを使わないインビザライン矯正も得意としており、目立ちにくく短期間で歯を並べることができます。 お仕事でお忙しい方も通いやすいよう、可能な限り短期間・少数回での治療をいたします。
特別外来

「りんごが丸かじりできる総⼊れ⻭」と⾔われる総義⻭治療法「ドクター・カワラダ・デンチャー・システム」の特別外来もやっております。⾃分の⻭とほとんど変わらない噛み具合が、無調整で7〜10年も維持されるという特徴があります。
STEP治療の3ステップ
-

STEP.1
無料相談&カウンセリング個室にて無料カウンセリングを行います。「痛いのが苦手」「仕事があるので通いにくい」「支払い方法を相談したい」など、なんでもお伝えください。患者様のご要望に沿った治療方針を医師と決めていきます。
-

STEP.2
治療開始無料カウンセリングで決められた治療方針をもとに、出来うる限り短期間・最少回数での治療を進めていきます。
-

STEP.3
アフターケア治療終了後にメンテナンスなどの定期的な健診を行うことで、虫歯や歯周病を防ぎます。※定期健診を受けられている患者様のみ保証期間の対象になります。
-
治療における注意点
(考えられるリスク・副作⽤)- 大きい虫歯で神経が露出する場合、神経の治療をする場合もあります。
- 歯周病のリスクの高い方は、本格的な治療に入る前に、歯のクリーニングをする場合がございます。
- 治療後に痛みが出る可能性は低いですが、まれに痛みが発症する場合があります。その場合はアフターケアでご対応いたします。
- 治療期間は患者様のご状況により、当初の予定より長くなることもございます。
-
治療後の注意点
(考えられるリスク・副作⽤)- 虫歯治療後の歯磨きが悪いと再度虫歯になったり歯周病を発症してしまいます。当院では定期検診を推奨します。
- 歯ぎしりや食いしばりによる不慮の破損防止のため、ナイトガードのご使用を推奨します。
- 事故や転倒など外から強い力が加わると破折や脱落の可能性があります。

アクセス
〒540-6121
⼤阪市中央区城⾒2丁⽬1-61 ツイン21・MIDタワー21F
- JR東西線「京橋駅」からのアクセス … 徒歩5分
- 京橋本線「京橋駅」からのアクセス … 徒歩5分
- 地下鉄長堀鶴見緑地線 「大阪ビジネスパーク駅」からのアクセス … 徒歩2分
診療時間
| 診療時間 | 月 | 火 | 水 | 木 | 金 | 土 | 日・祝 |
|---|---|---|---|---|---|---|---|
| 10:00 〜 19:00 |
〇 | 〇 | 〇 | 〇 | 〇 | △ | 休 |
△…完全予約制(10:00〜13:00)
雨でも濡れずに来院できます!
【JR 京橋駅】から
JR大阪環状線、JR東西線「京橋」駅の西口改札を出て大阪城 京橋プロムナードを通り抜けてください。
【京阪本線 京橋駅】から
片町口改札を出て大阪城京橋プロムナードを通り抜けてください。
初めての方
WEB予約
LINE予約













